歯周病

歯周病とは、歯ぐきが腫れたり、血が出たり、口臭の原因となる病気です。
しかし、それ以上に問題なのは、歯を支えているあごの骨が溶かされてしまい、歯がグラグラになって抜けてしまうことです。
歯周病の怖いところは
1.通常ほとんど自覚がないまま進んでしまう。
2.一度溶けてしまった骨は元に戻らない。
という所にあります。

ご自身で気付く時には、ほとんどの場合で重症化しており、抜くことが多くなってしまいます。
当院ではできる限り歯を抜かずに持たせられるよう、歯周病の治療に力を入れております。
しっかりとした検査をもとに、治療内容や進め方を患者様の要望を踏まえつつ、ご提案しております。

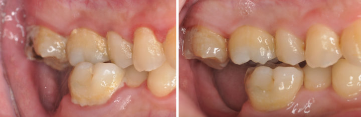
歯周病

治療前後の歯茎の状態。
治療前(左)と比べ、歯茎の赤みと腫れが治っている。

歯周病治療の流れ

歯周病治療1回目

①問診票記入』

②お口の中の検査
専用の器具を用いて、歯周ポケットの深さ・出血の有無を測定し、歯周病の状態を診断していきます。

③レントゲン検査
レントゲン撮影を行い、顎の骨の状態を診断していきます。

④検査結果の説明
診査診断データを、検査結果用紙でお渡しいたします。
結果をもとに、歯周病治療にかかる回数・期間をご相談させていただきます。
※初回は診査と診断結果のご説明のみになります。

歯周病治療2回目

歯石やプラーク(歯垢)を水を出しながら超音波の力で除去していきます。