インプラント
- トップページ
- インプラント
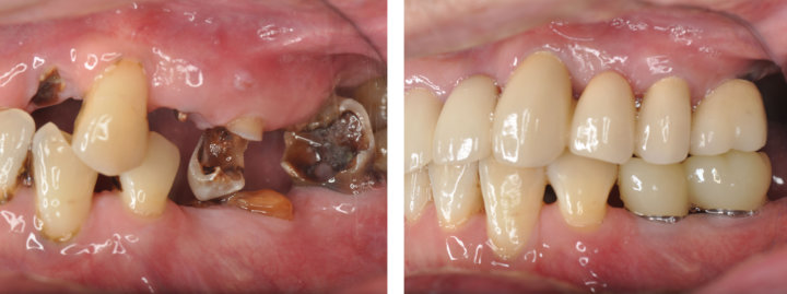
インプラントとは、チタン製のネジを骨に埋め込み、新しく歯を作る処置です。
歯を失った部位に対して非常に有効な回復手段であり、従来の入れ歯やブリッジよりも快適に使用することができます。
また、従来の入れ歯やブリッジは歯を入れるにあたって、歯に金具をかける,歯を大きく削る等、周囲の歯に負担を強いるため、どうしても残っている歯のもちを悪くしやすいという欠点がありました。
一方、インプラントは周囲の歯に負担をかけないため、残ったご自身の歯がより長持ちしやすくなるという利点があります。
その一方で治療期間(骨に埋め込むため、処置後治癒をお待ちいただく期間)や費用的な負担は他の処置よりかかってしまいます。
インプラント治療は高い技術と、お口の中全体の状態を踏まえた高度な診断が必要となる処置であるため、当院ではインプラント専門医による施術を行っております。
確かな技術で治療を行いますので安心して治療にお望みいただけますが、全身的な要因やお口の状況によっては、インプラントをご希望であってもご希望に添えない場合もございます。
インプラント治療に関して、一切こちらから押し付けるようなことはございません。
不安やお悩みがございましたらお気軽にご相談ください。